Gingivectomy

Laser Gingivectomy - Elmwood Park

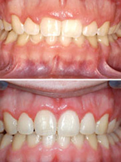
Contouring of gums to reduce "gummy smile", typically using laser.
 
The Gingivectomy Procedure
 
Prior to the gingivectomy procedure, scaling and root planing is often used to remove bacteria and tartar from below the gum line. The gingivectomy procedure itself typically requires just local anesthesia to numb your gums. Traditionally, a scalpel is used to remove gum tissue, but today, many dentists use laser gingivectomy for less invasive treatment, minimized bleeding and faster healing time. (It's important to note that the gingivectomy cost may range according to the type of gingivectomy procedure performed.)
 
Depending on how much tissue needs to be removed, the gingivectomy procedure can take anywhere from a few minutes to an hour.
 
Does a Gingivectomy Hurt?
 
Most periodontic procedures aren't painful, but you may feel some discomfort following your gingivectomy procedure. Bleeding gums are also normal for the first day or two. As with any surgical procedure, there is always a minor risk of infection. Your dentist may prescribe you antibiotics to reduce your risk of infection from bacteria entering the bloodstream. 
Appointment request
Need an appointment with a dentist in Elmwood Park ? Requesting an appointment at our Elmwood Park, IL family and cosmetic dental office is now easier than ever. Fill out the form below and we'll contact you to find a time that fits your schedule. Start your journey towards a beautiful smile with us today!
Patient Name*
Phone Number*
Email Address
Are you a current patient?
Best time(s) to call?
Preferred Appt Date
Preferred Appt Time
Message
Describe the nature of your appointment or any other comments