Composite Fillings

At New England Dental Group, we understand the importance of preserving your natural smile while addressing dental health concerns. Composite fillings are a versatile and effective solution to repair tooth decay, chips, or gaps while maintaining the natural appearance of your teeth. If you’re looking for high-quality care from Elmwood Park IL dentists, our team is here to help you achieve a healthy, beautiful smile.
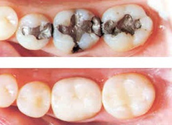
What Are Composite Fillings?
Composite fillings are tooth-colored restorations made from a blend of ceramic and plastic compounds. Unlike traditional amalgam fillings, which are silver in appearance and made from a mix of metals, composite fillings are designed to blend seamlessly with your natural teeth. This makes them an excellent option for repairing damage, especially in visible areas like the front teeth.
While amalgam fillings are durable and long-lasting, composite fillings offer several advantages:
• They match the natural color of your teeth, enhancing your smile’s aesthetics.
• Less of the tooth structure needs to be removed during the preparation process.
• They bond directly to the tooth, providing additional strength.
When Are Composite Fillings Used?
Composite fillings are a versatile treatment option that can address several dental concerns, including:
• Cavities caused by tooth decay.
• Chipped or broken teeth.
• Closing gaps between teeth.
• Improving the appearance of discolored or uneven teeth.
Our experienced Elmwood Park IL dentists carefully evaluate each patient’s needs to determine if composite fillings are the right choice for their smile.
What to Expect During the Procedure
Getting a composite filling is a straightforward and comfortable process at New England Dental Group. Here’s what you can expect:
1. Preparation: If necessary, the area around the affected tooth will be numbed with local anesthetic to ensure you remain comfortable.
2. Decay Removal: We remove the decayed or damaged portion of the tooth to prepare it for the filling.
3. Bonding Agent: A special substance is applied to open the pores of the tooth, ensuring a strong bond between the tooth and the filling.
4. Filling Application: The composite material is applied in thin layers, shaped to restore the tooth’s natural form, and hardened using a curing light.
5. Polishing and Adjustment: Once the filling is in place, it is polished and smoothed to ensure it looks and feels natural. We will also check your bite to ensure a proper fit.
Why Choose New England Dental Group?
At New England Dental Group, we pride ourselves on providing top-tier dental care tailored to each patient’s unique needs. Our skilled Elmwood Park IL dentists use the latest techniques and materials to ensure your composite fillings are durable, comfortable, and blend seamlessly with your smile.
Whether you need to address cavities or enhance the appearance of your teeth, composite fillings are a fantastic solution. Contact New England Dental Group today to schedule an appointment and let our dedicated team help you achieve your healthiest smile yet!







